作者seanliengodp (天蓬國首都台北市準市長)
標題[姆咪] 我的耳朵好髒喔
時間2024-09-12 15:36:48
https://i.imgur.com/maji3Ew.jpeg
https://i.imgur.com/R2g47yW.jpeg
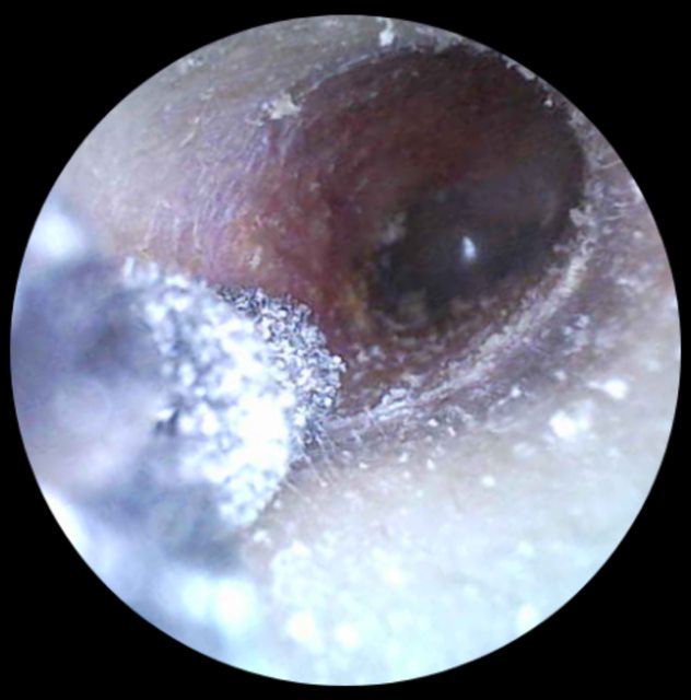
為什麼我的耳朵會這樣又髒又油呢
但是在挖下去可能會有危險了
唉
--
※ 發信站: 批踢踢實業坊(pttweb.org.tw), 來自: 61.224.172.150 (臺灣)
※ 文章網址: https://pttweb.org.tw/Marginalman/M.1726126610.A.BF8
噓 JenniferLope: 我吐了 謝謝 09/12 15:38
推 tommy72392: YT一堆這種,還微妙地有點流量 09/12 15:41